Árbol
Tomado de : https://www.tropicos.org/name/5900344
Distribución en Ecuador
Vista Macroscópica
Propiedades físicas, organolépticas y características anatómicas
Propiedades físicas:
- Contenido de humedad (%): 30.66
- Densidad en verde (g/cm3): 1.21
- Densidad en equilibrio (g/cm3): 0.89
- Densidad anhidro (g/cm3): 0.89
- Densidad básica (g/cm3): 0.82
- Contracción longitudinal (cm3): 4.91
- Contracción tangencial (cm3): 1.51
- Contracción radial (cm3): 0.18
- Contracción volumétrica (cm3): 1.71
Propiedades organolépticas:
- Sabor: Ausente
- Olor: Aromático
- Color: Claro
- Textura: Gruesa
- Brillo: Bajo
- Peso: Pesado
- Grano: Oblicuo/Inclinado
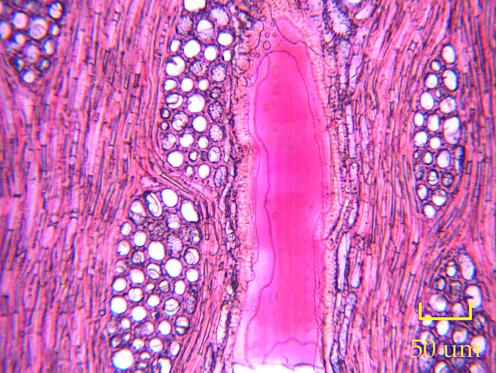
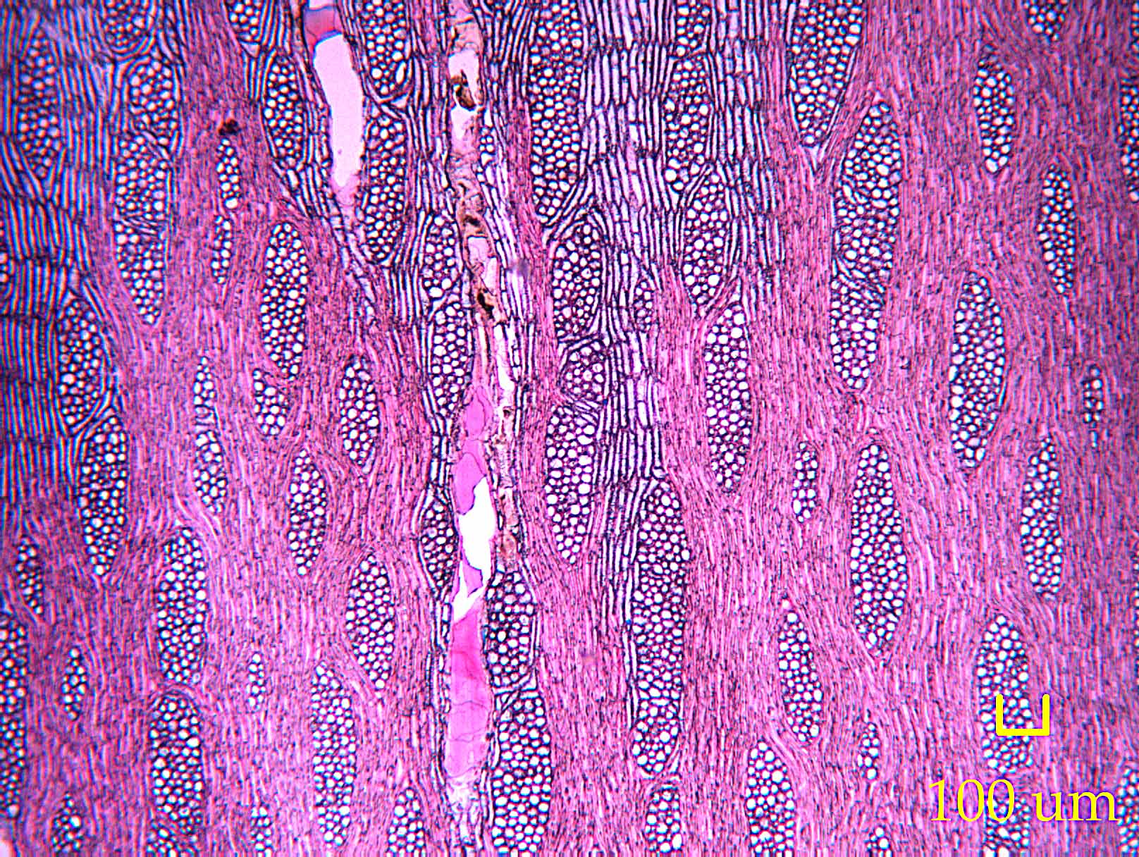
Características anatómicas:
- 2 - Anillos de crecimiento poco visibles o ausentes
- 5 - Anillos con poros difusos
- 7 - Vasos (poros) en patrones radiales o diagonales
- 11 - Vasos (poros) en grupos comunes (de 3 o más vasos)
- 13 - Placas perforadas simples
- 21 - Puntedauras intervasculares opuestas
- 24 - Diminutas- ≤ 4 μm
- 53 - Longitud media del elemento del vaso: 350-800 μm
- 58 - Gomas y otros depósitos en vasos del duramen.
- 70 - Fibras de paredes muy gruesas
- 76 - Parénquima axial difuso
- 79 - Parénquima axial vasicéntrico
- 80 - Parénquima axial aliforme
- 85 - Parénquima axial en bandas con más tres células de ancho
- 92 - Cuatro (3-4) células por hebra de parénquima
- 98 - Radios comunmente de 4 a 10 series
- 103 - Radios de dos tamaños distintos
- 109 - Radios con una mezcla de células procumbentes, cuadradas y verticales
