Árbol
Tomado de : https://www.gbif.org/species/7844328
Distribución en Ecuador
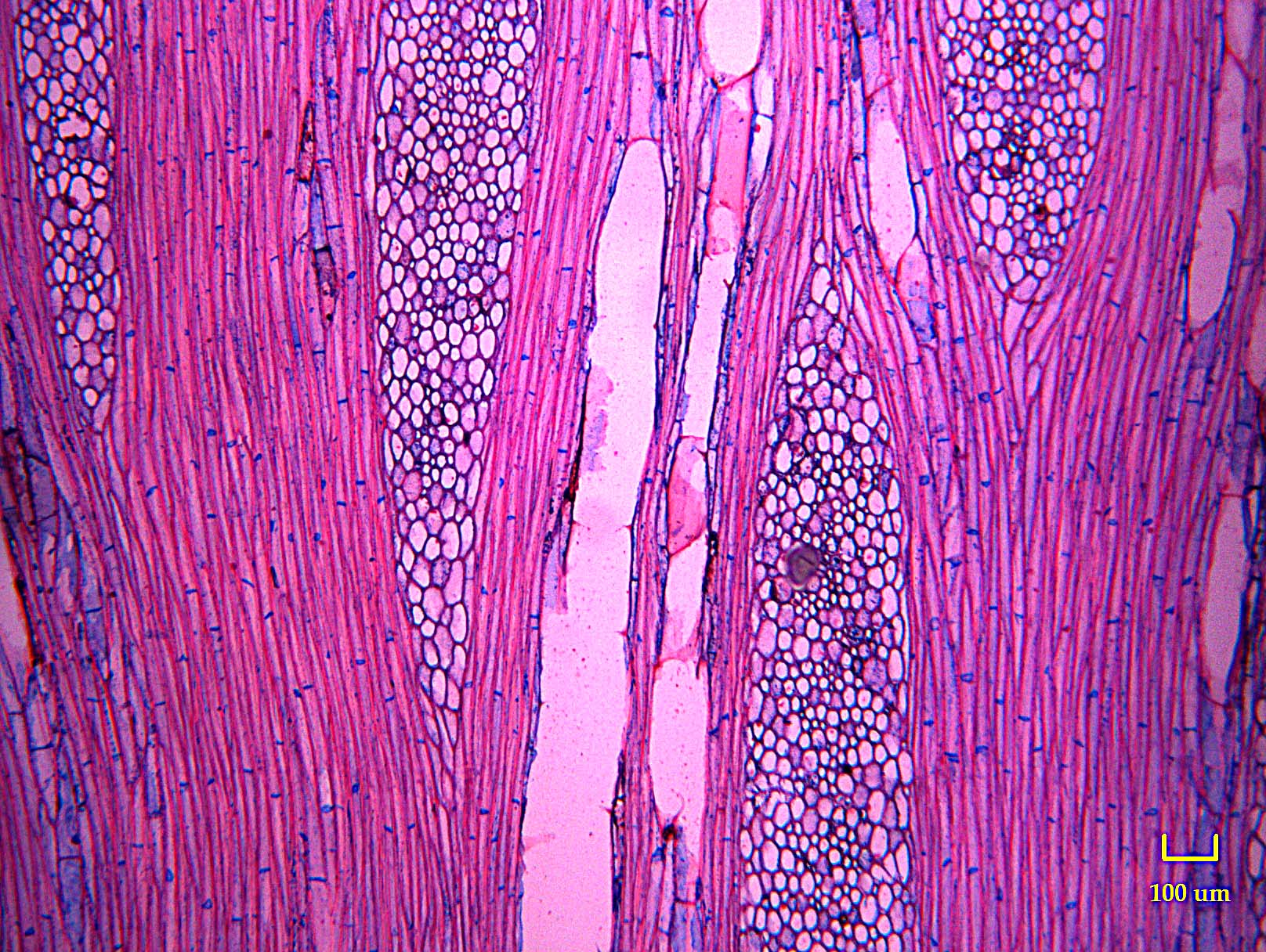
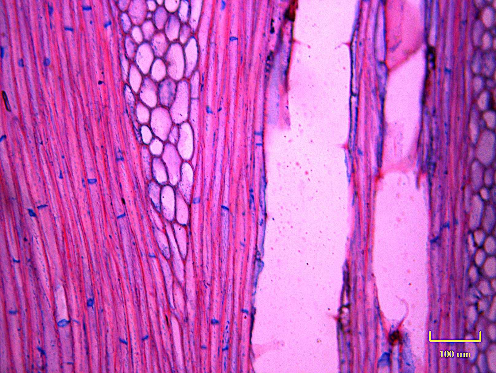
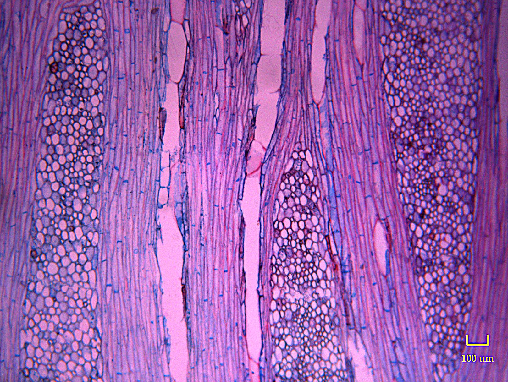
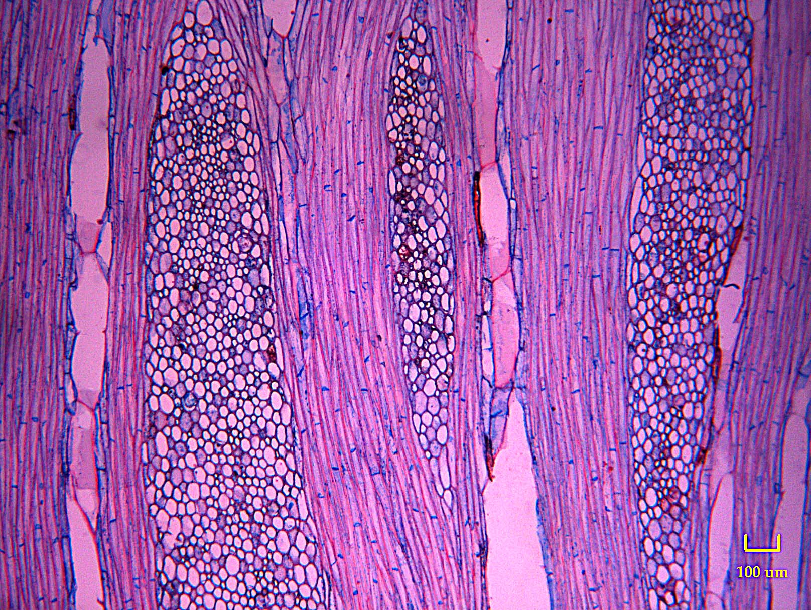
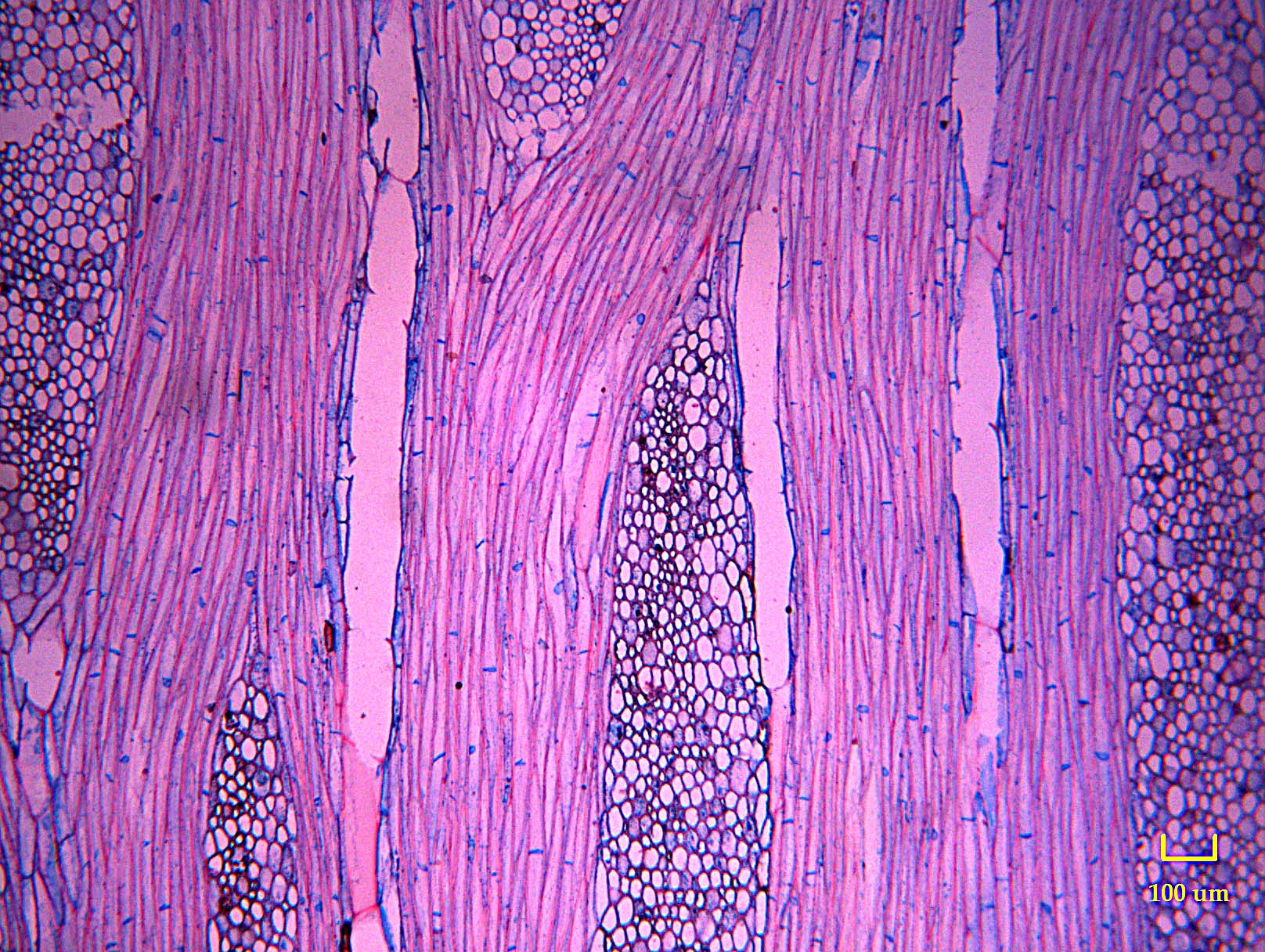
Vista Macroscópica
Propiedades físicas, organolépticas y características anatómicas
Propiedades físicas:
- Contenido de humedad (%): 76.24
- Densidad en verde (g/cm3): 1.13
- Densidad en equilibrio (g/cm3): 0.72
- Densidad anhidro (g/cm3): 0.72
- Densidad básica (g/cm3): 0.55
- Contracción longitudinal (cm3): 0.27
- Contracción tangencial (cm3): 5.23
- Contracción radial (cm3): 3.88
- Contracción volumétrica (cm3): 9.12
Propiedades organolépticas:
- Sabor: Astringente
- Olor: Ausente
- Color: Marron
- Textura: Fina
- Brillo: Bajo
- Peso: Pesado
- Grano: Recto
Características anatómicas:
- 1 - Anillos de crecimiento visibles
- 5 - Anillos con poros difusos
- 7 - Vasos (poros) en patrones radiales o diagonales
- 11 - Vasos (poros) en grupos comunes (de 3 o más vasos)
- 12 - Perfil angular de vasos solitarios
- 13 - Placas perforadas simples
- 22 - Punteaduras intervasculares alternas
- 24 - Diminutas- ≤ 4 μm
- 53 - Longitud media del elemento del vaso: 350-800 μm
- 69 - Fibras de pared delgada a gruesa
- 76 - Parénquima axial difuso
- 78 - Parénquima axial paratraqueal escaso
- 79 - Parénquima axial vasicéntrico
- 89 - Parénquima axial marginal o en bandas aparentemente marginales
- 91 - Dos células por hebra de parénquima
- 99 - Radios comunmente mayores a 10 series
- 102 - Radios de altura mayor a 1mm
- 103 - Radios de dos tamaños distintos
- 106 - Cuerpo del radio con células procumbentes y una sóla fila de células verticales y/o cuadradas marginales
