Árbol
Tomado de : https://www.gbif.org/species/3082328
Distribución en Ecuador
Vista Macroscópica
Propiedades físicas, organolépticas y características anatómicas
Propiedades físicas:
- Contenido de humedad (%): 69.15
- Densidad en verde (g/cm3): 1.02
- Densidad en equilibrio (g/cm3): 0.74
- Densidad anhidro (g/cm3): 0.73
- Densidad básica (g/cm3): 0.67
- Contracción longitudinal (cm3): 0.27
- Contracción tangencial (cm3): 0.62
- Contracción radial (cm3): 0.56
- Contracción volumétrica (cm3): 0.9
Propiedades organolépticas:
- Sabor: Amargo
- Olor: Ausente
- Color: Amarillo
- Textura: Fina
- Brillo: Sin brillo
- Peso: Pesado
- Grano: Oblicuo/Inclinado
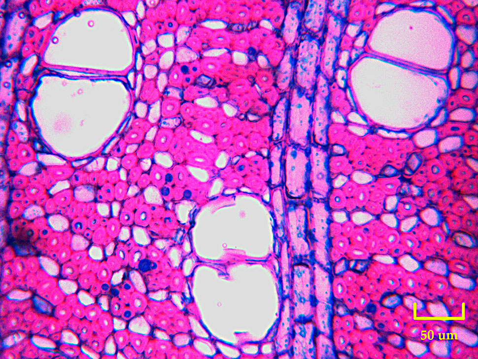
Características anatómicas:
- 2 - Anillos de crecimiento poco visibles o ausentes
- 5 - Anillos con poros difusos
- 6 - Vasos (poros) en bandas tangenciales
- 11 - Vasos (poros) en grupos comunes (de 3 o más vasos)
- 19 - Reticular, foraminado y/u otros tipos de placas perforadas múltiples
- 22 - Punteaduras intervasculares alternas
- 23 - Forma de las punteaduras intervasculares alternas
- 26 - Medio - 7-10 μm
- 53 - Longitud media del elemento del vaso: 350-800 μm
- 70 - Fibras de paredes muy gruesas
- 77 - Parénquima axial difuso en agregados.
- 79 - Parénquima axial vasicéntrico
- 88 - Parénquima axial escaliforme
- 93 - Ocho (5-8) células por hebra de parénquima
- 98 - Radios comunmente de 4 a 10 series
- 103 - Radios de dos tamaños distintos
- 107 - Cuerpo del radio con células procumbentes con 2-4 filas de células verticales y/o cuadradas marginales
