Árbol
Tomado de : https://xiloteca.unl.edu.ec/
Distribución en Ecuador
Vista Macroscópica
Propiedades físicas, organolépticas y características anatómicas
Propiedades físicas:
- Contenido de humedad (%): 65.79
- Densidad en verde (g/cm3): 1.14
- Densidad en equilibrio (g/cm3): 0.87
- Densidad anhidro (g/cm3): 0.85
- Densidad básica (g/cm3): 0.68
- Contracción longitudinal (cm3): 1.17
- Contracción tangencial (cm3): 0.12
- Contracción radial (cm3): 1.19
- Contracción volumétrica (cm3): 0.19
Propiedades organolépticas:
- Sabor: Ausente
- Olor: Aromático
- Color: Oscuro
- Textura: Fina
- Brillo: Bajo
- Peso: Pesado
- Grano: Recto
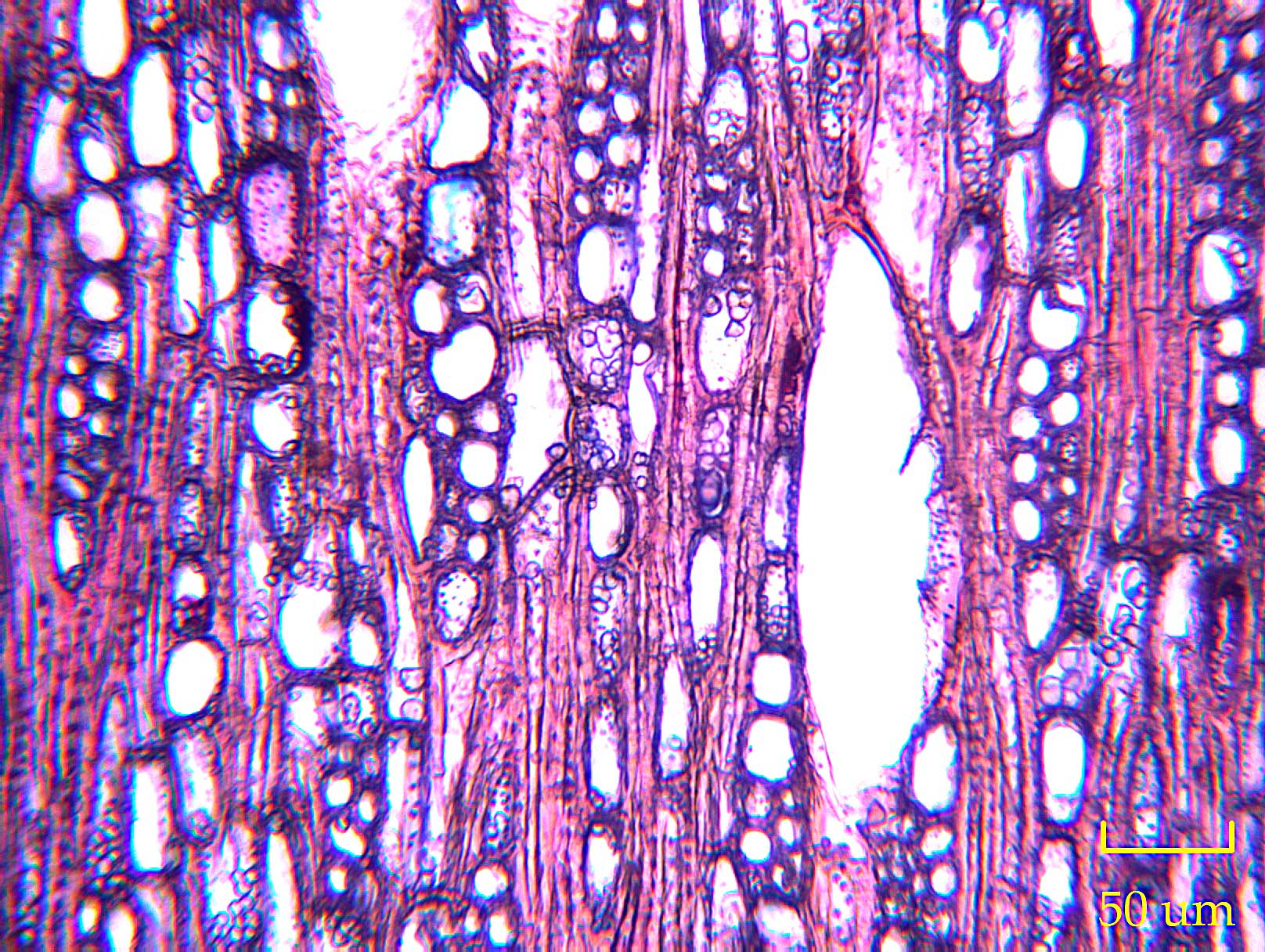
Características anatómicas:
- 2 - Anillos de crecimiento poco visibles o ausentes
- 5 - Anillos con poros difusos
- 8 - Vasos (poros) en patrones dendríticos
- 9 - Vasos (poros) exclusivamente solitarios (90% o más)
- 13 - Placas perforadas simples
- 22 - Punteaduras intervasculares alternas
- 24 - Diminutas- ≤ 4 μm
- 70 - Fibras de paredes muy gruesas
- 76 - Parénquima axial difuso
- 80 - Parénquima axial aliforme
- 86 - Parénquima axial en bandas finas o líneas de hasta tres células de ancho
- 90 - Células de parénquima fusiforme
- 97 - Radios con ancho de 1 a 3 series
- 102 - Radios de altura mayor a 1mm
- 103 - Radios de dos tamaños distintos
- 109 - Radios con una mezcla de células procumbentes, cuadradas y verticales
