Árbol
Tomado de : https://www.gbif.org/species/5341760
Distribución en Ecuador
Vista Macroscópica
Propiedades físicas, organolépticas y características anatómicas
Propiedades físicas:
- Contenido de humedad (%): 108.7
- Densidad en verde (g/cm3): 1.1
- Densidad en equilibrio (g/cm3): 0.6
- Densidad anhidro (g/cm3): 0.6
- Densidad básica (g/cm3): 0.5
- Contracción longitudinal (cm3): 5.7
- Contracción tangencial (cm3): 0.59
- Contracción radial (cm3): 0.95
- Contracción volumétrica (cm3): 9.5
Propiedades organolépticas:
- Sabor: Amargo
- Olor: Desagradable
- Color: Claro
- Textura: Fina
- Brillo: Bajo
- Peso: Liviano
- Grano: Recto
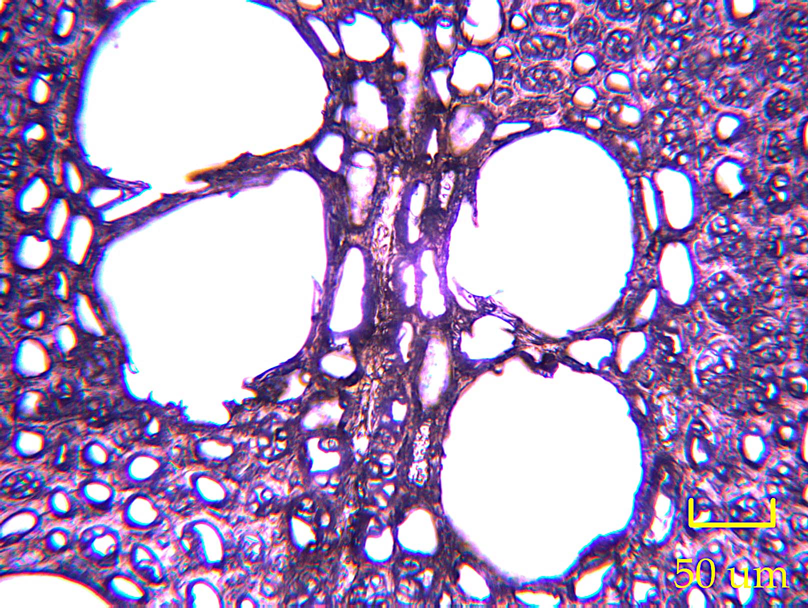
Características anatómicas:
- 2 - Anillos de crecimiento poco visibles o ausentes
- 5 - Anillos con poros difusos
- 8 - Vasos (poros) en patrones dendríticos
- 11 - Vasos (poros) en grupos comunes (de 3 o más vasos)
- 13 - Placas perforadas simples
- 22 - Punteaduras intervasculares alternas
- 23 - Forma de las punteaduras intervasculares alternas
- 25 - Pequeño - 4-7 μm
- 52 - Longitud media del elemento del vaso: ≤ 350 μm
- 69 - Fibras de pared delgada a gruesa
- 77 - Parénquima axial difuso en agregados.
- 79 - Parénquima axial vasicéntrico
- 89 - Parénquima axial marginal o en bandas aparentemente marginales
- 91 - Dos células por hebra de parénquima
- 98 - Radios comunmente de 4 a 10 series
- 102 - Radios de altura mayor a 1mm
- 103 - Radios de dos tamaños distintos
- 107 - Cuerpo del radio con células procumbentes con 2-4 filas de células verticales y/o cuadradas marginales
